Ovarian Cyst Pelvic Ultrasound Female : Ultrasound Showing A Large Pelvic Cyst Diagnosed An Ovarian Cyst Download Scientific Diagram / This may result in vomiting or feeling faint.and even cause head aches.

Ovarian Cyst Pelvic Ultrasound Female : Ultrasound Showing A Large Pelvic Cyst Diagnosed An Ovarian Cyst Download Scientific Diagram / This may result in vomiting or feeling faint.and even cause head aches.. The pain is usually sharp and most often on the lower right side. An ovarian cyst usually only causes symptoms if it splits (ruptures), is very large or blocks the blood supply to the ovaries. In these cases, you may have: One ovary is located on each side of the uterus in the abdomen (picture 1). Large cysts, those causing symptoms, and those that could be cancerous, may need to be surgically removed.

If it is smaller than 2 inches (5 cm) in diameter it may very well go away on its own. Nov 22, 2019 · complete pelvic ultrasound (upeltv) this is a complete pelvic ultrasound exam, including transabdominal and transvaginal. This may result in vomiting or feeling faint.and even cause head aches. If the cyst is smooth and completely filled with clear fluid, chances are it is not too dangerous. Jul 21, 2021 · rarely, some ovarian cysts make abnormal amounts of female (or male) chemicals (hormones) which can cause unusual symptoms.

Transvaginal Ultrasonography And Female Infertility Glowm
Transvaginal Ultrasonography And Female Infertility Glowm from resources.ama.uk.com
Sep 11, 2019 · ovarian cysts symptoms include pelvic or abdominal pain, and are caused by a variety of reasons. An ovarian cyst usually only causes symptoms if it splits (ruptures), is very large or blocks the blood supply to the ovaries. Treatment depends upon the cause and type of cyst. In these cases, you may have: Cystic ovarian masses that develop after menopause might be cancerous (malignant). Ovarian cysts do not cause cancer. If it is smaller than 2 inches (5 cm) in diameter it may very well go away on its own. The majority of cysts are harmless.

It often forms during or after ovulation.

Aug 26, 2020 · a severe pelvic infection. The pain is usually sharp and most often on the lower right side. Occasionally they may produce bloating, lower abdominal pain, or lower back pain. Some women develop less common types of cysts that a doctor finds during a pelvic exam. This may result in vomiting or feeling faint.and even cause head aches. Treatment depends upon the cause and type of cyst. The majority of cysts are harmless. Ovarian cysts are usually diagnosed by ultrasound, ct scan, or mri, and correlated with clinical presentation and endocrinologic tests as appropriate. Jul 21, 2021 · rarely, some ovarian cysts make abnormal amounts of female (or male) chemicals (hormones) which can cause unusual symptoms. If the cyst either breaks open or causes twisting of the ovary, it may cause severe pain. Often they cause no symptoms. Ovaries are female reproductive organs. It often forms during or after ovulation.

If it is smaller than 2 inches (5 cm) in diameter it may very well go away on its own. Occasionally they may produce bloating, lower abdominal pain, or lower back pain. Some women develop less common types of cysts that a doctor finds during a pelvic exam. The pain is usually sharp and most often on the lower right side. If the infection spreads to the ovaries, it can cause cysts.

Imaging Of The Female Pelvis Through The Life Cycle Radiographics
Imaging Of The Female Pelvis Through The Life Cycle Radiographics from pubs.rsna.org
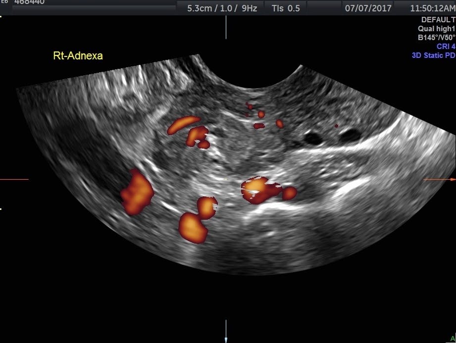
How is an ovarian cyst diagnosed? The pain is usually sharp and most often on the lower right side. If the cyst is smooth and completely filled with clear fluid, chances are it is not too dangerous. If you've had one, you're likely to develop more. Occasionally they may produce bloating, lower abdominal pain, or lower back pain. If an ovarian cyst is felt on pelvic exam, and confirmed by ultrasound we can tell a lot. Jul 21, 2021 · rarely, some ovarian cysts make abnormal amounts of female (or male) chemicals (hormones) which can cause unusual symptoms. But some cysts, such as endometriomas, could be on either side.

Treatment depends upon the cause and type of cyst.

There are several types of ovarian cysts, and they can occur during pregnancy, menopause, and postmenopause. Cystic ovarian masses that develop after menopause might be cancerous (malignant). Occasionally they may produce bloating, lower abdominal pain, or lower back pain. If it is smaller than 2 inches (5 cm) in diameter it may very well go away on its own. An ovarian cyst (oh vair ee uh n sist) is a fluid filled sac in or on the surface of an ovary. One ovary is located on each side of the uterus in the abdomen (picture 1). But some cysts, such as endometriomas, could be on either side. Treatment depends upon the cause and type of cyst. If the cyst is smooth and completely filled with clear fluid, chances are it is not too dangerous. It often forms during or after ovulation. Ovarian cysts are usually diagnosed by ultrasound, ct scan, or mri, and correlated with clinical presentation and endocrinologic tests as appropriate. Some women develop less common types of cysts that a doctor finds during a pelvic exam. If a male sonographer is doing the scan, there will need to be a female chaperone present for the transvaginal or translabial portion of the exam.

If you've had one, you're likely to develop more. Jul 21, 2021 · rarely, some ovarian cysts make abnormal amounts of female (or male) chemicals (hormones) which can cause unusual symptoms. It often forms during or after ovulation. This may result in vomiting or feeling faint.and even cause head aches. An ovarian cyst usually only causes symptoms if it splits (ruptures), is very large or blocks the blood supply to the ovaries.

Simple Adnexal Cysts Sru Consensus Conference Update On Follow Up And Reporting Radiology
Simple Adnexal Cysts Sru Consensus Conference Update On Follow Up And Reporting Radiology from pubs.rsna.org
In these cases, you may have: If the infection spreads to the ovaries, it can cause cysts. This may result in vomiting or feeling faint.and even cause head aches. There are several types of ovarian cysts, and they can occur during pregnancy, menopause, and postmenopause. The pain is usually sharp and most often on the lower right side. But some cysts, such as endometriomas, could be on either side. One ovary is located on each side of the uterus in the abdomen (picture 1). Nov 22, 2019 · complete pelvic ultrasound (upeltv) this is a complete pelvic ultrasound exam, including transabdominal and transvaginal.

Ovaries are female reproductive organs.

Aug 26, 2020 · a severe pelvic infection. Ovarian cysts do not cause cancer. If the cyst either breaks open or causes twisting of the ovary, it may cause severe pain. An ovarian cyst usually only causes symptoms if it splits (ruptures), is very large or blocks the blood supply to the ovaries. This may result in vomiting or feeling faint.and even cause head aches. But some cysts, such as endometriomas, could be on either side. Occasionally they may produce bloating, lower abdominal pain, or lower back pain. Jul 21, 2021 · rarely, some ovarian cysts make abnormal amounts of female (or male) chemicals (hormones) which can cause unusual symptoms. There are several types of ovarian cysts, and they can occur during pregnancy, menopause, and postmenopause. If you've had one, you're likely to develop more. An ovarian cyst (oh vair ee uh n sist) is a fluid filled sac in or on the surface of an ovary. Treatment depends upon the cause and type of cyst. It often forms during or after ovulation.

There are several types of ovarian cysts, and they can occur during pregnancy, menopause, and postmenopause pelvic ultrasound female. How is an ovarian cyst diagnosed?

Posting Komentar

0 Komentar